Home
About
(current)
Services
Our Success
Our Certificates
Team
Contact Us
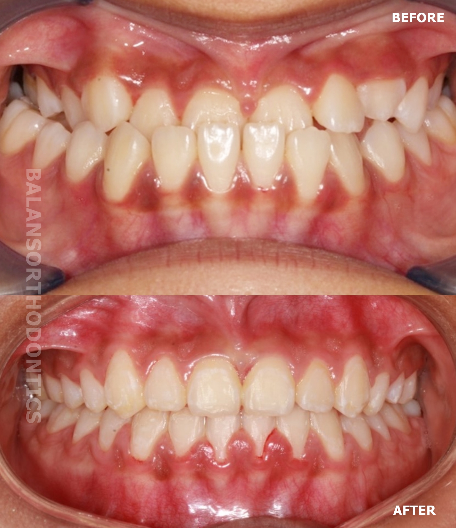
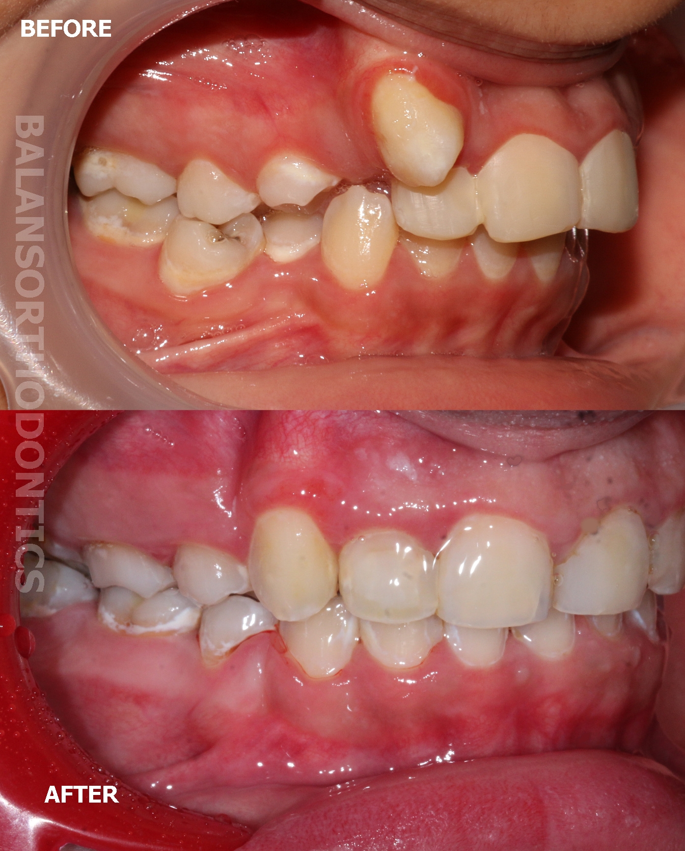
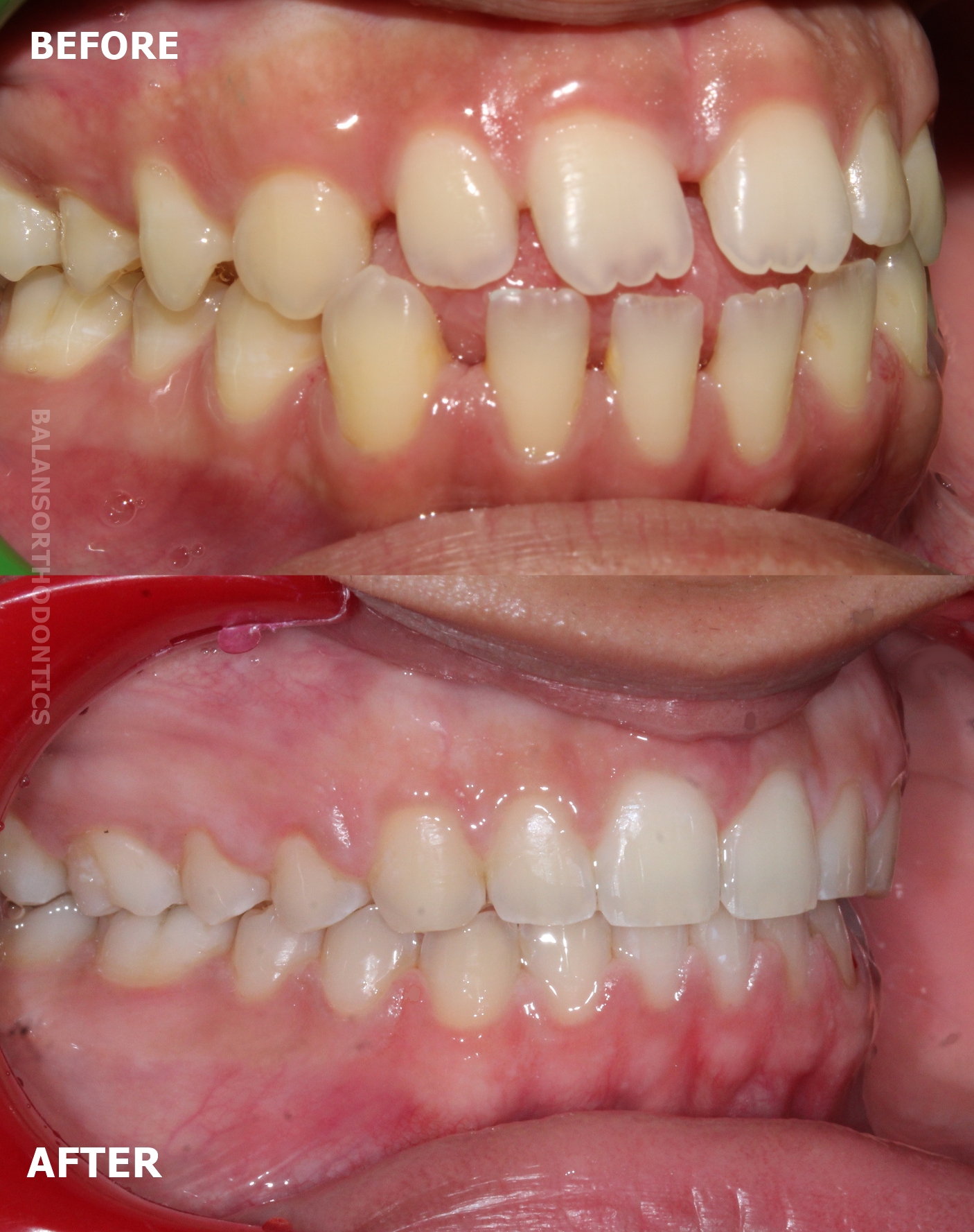
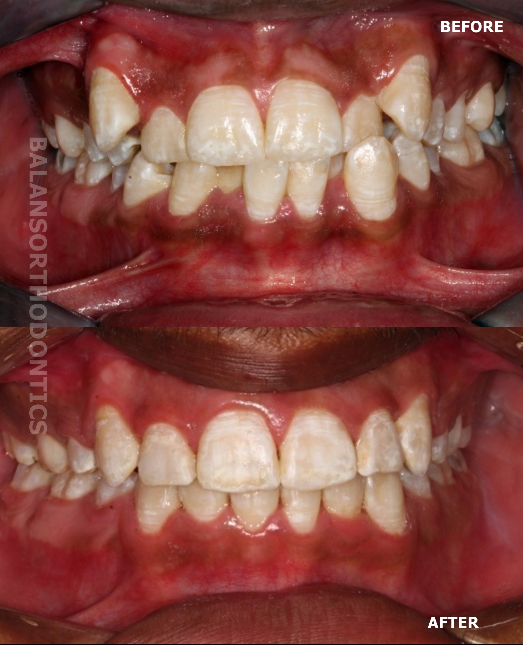
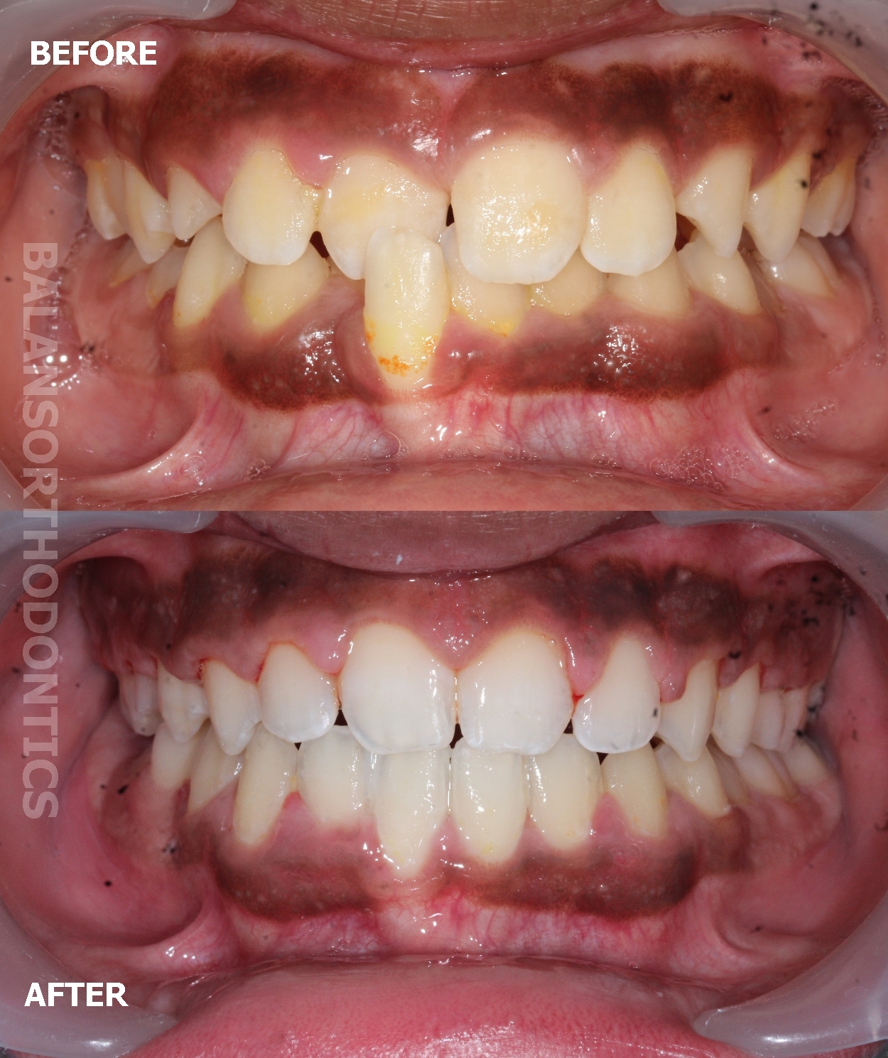
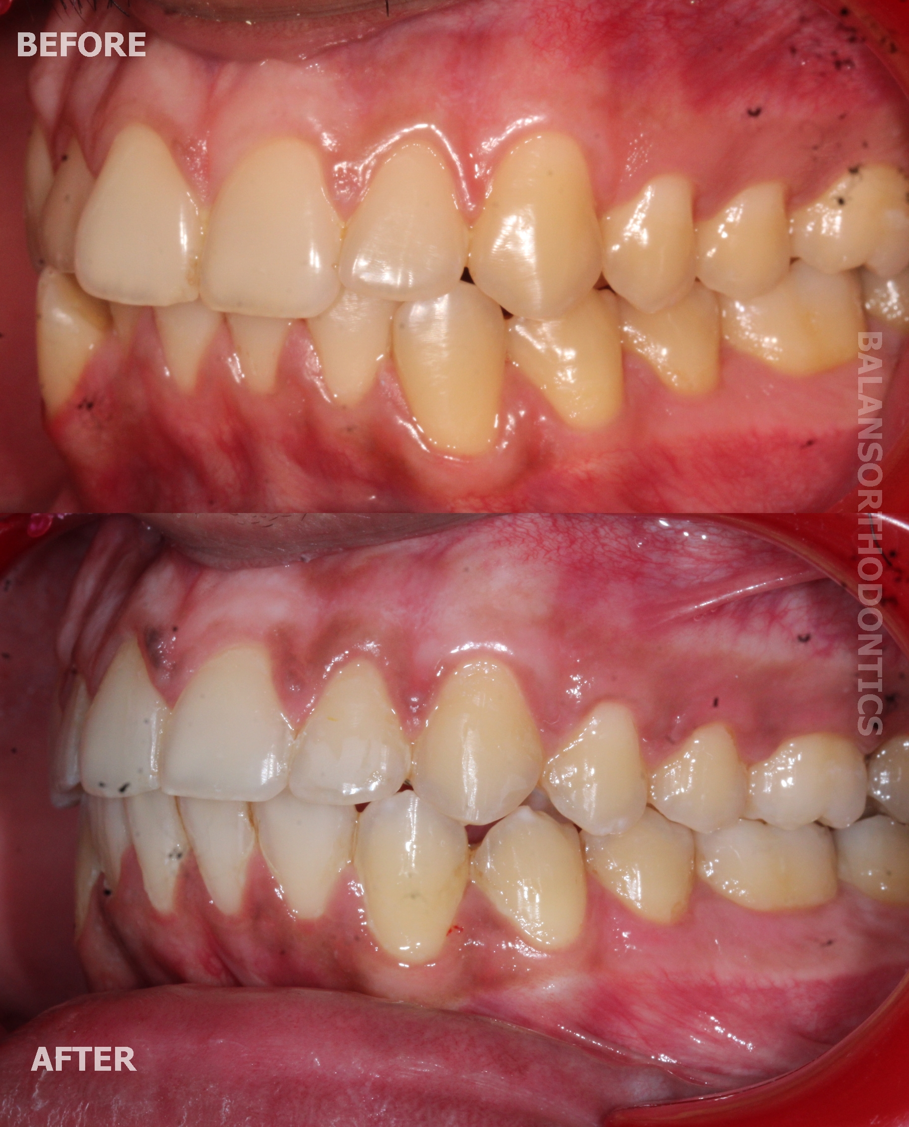
Our
Success
×